9:00-17:30(土14:00まで) 水日祝休診
初診・メインテナンス限定
WEB予約
診療案内
CASE
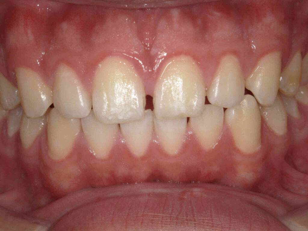
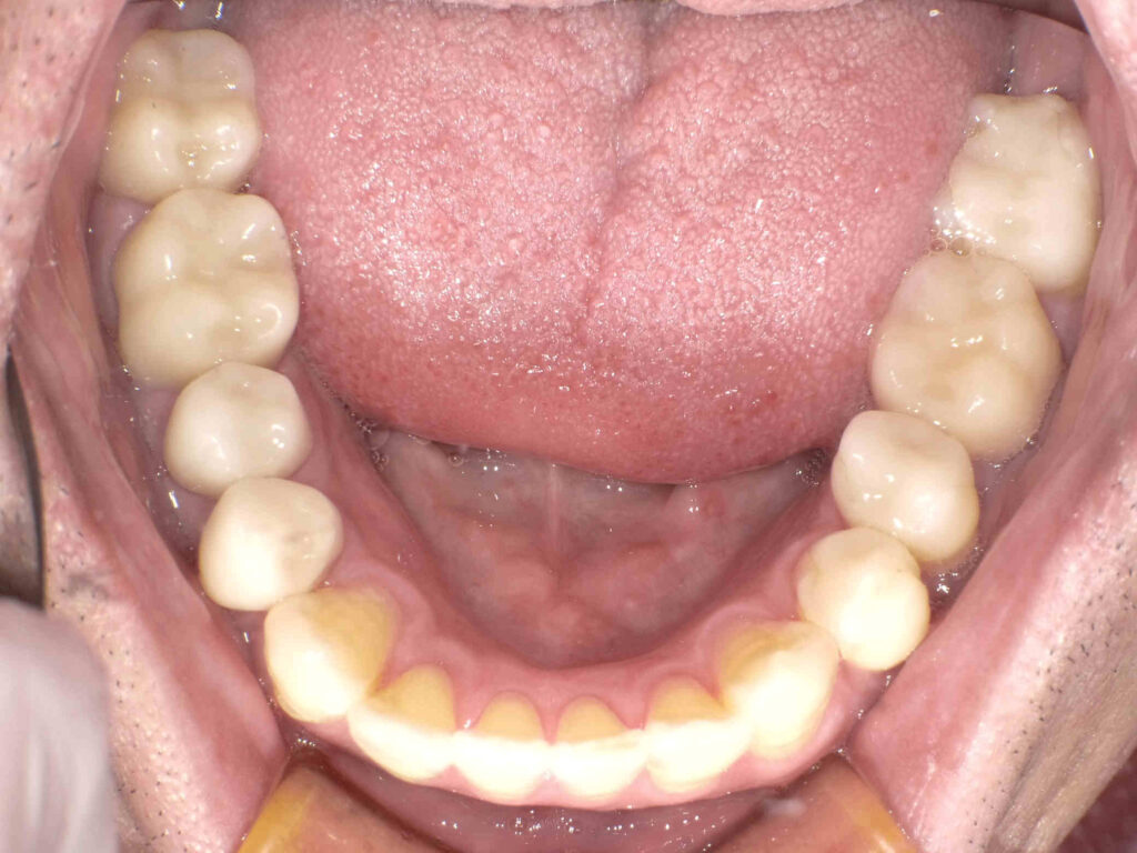
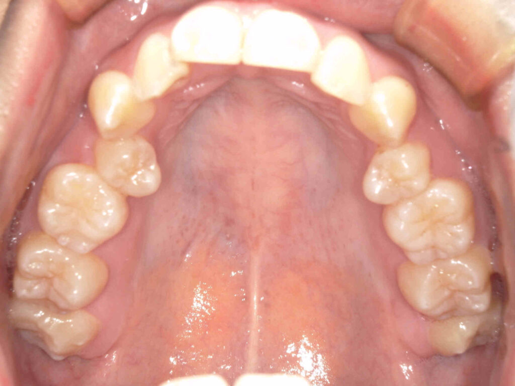
セラミック治療
グラデーションジルコニアクラウン …続きを見る
詳しく見る
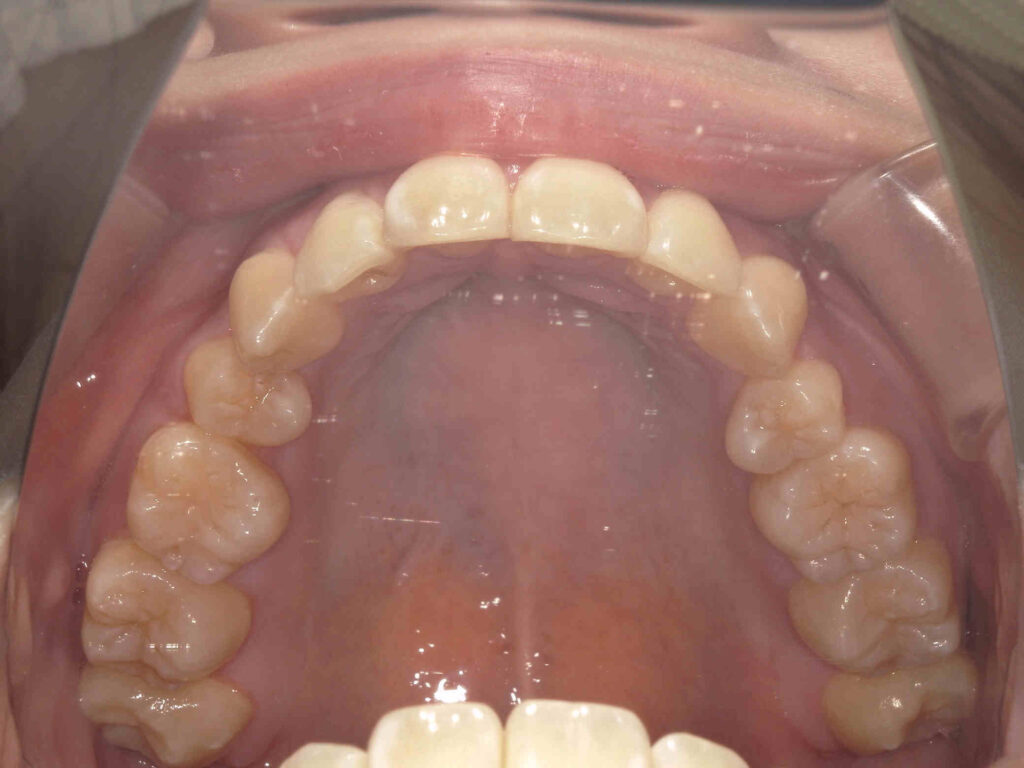
グラデーションジルコニアインレー修復 …続きを見る
インプラント
36,37抜歯。36インプラント。 …続きを見る
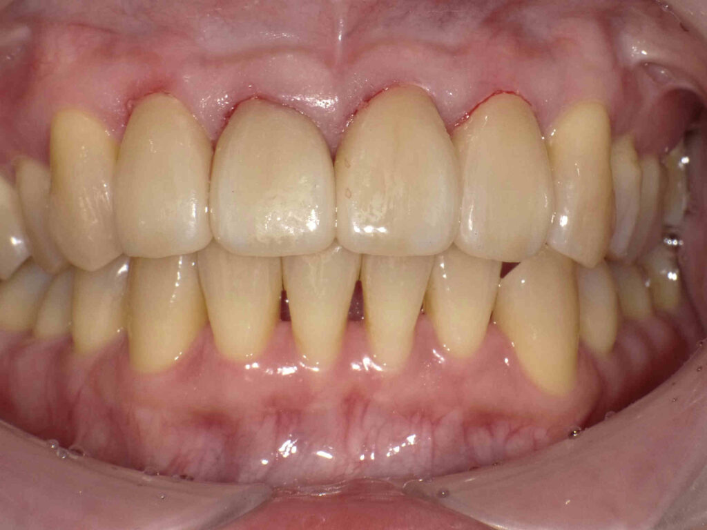
ラミネートべニア修復 …続きを見る
36抜歯 36,37インプラント治療 …続きを見る
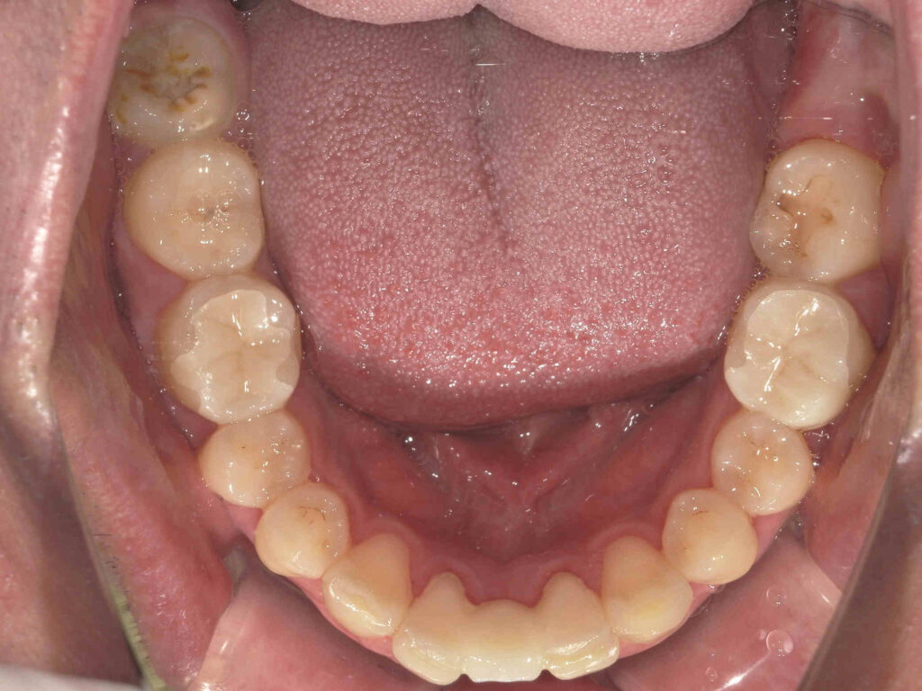
低侵襲(MI)治療
ダイレクトボンディング …続きを見る
矯正歯科
マウスピース矯正 …続きを見る
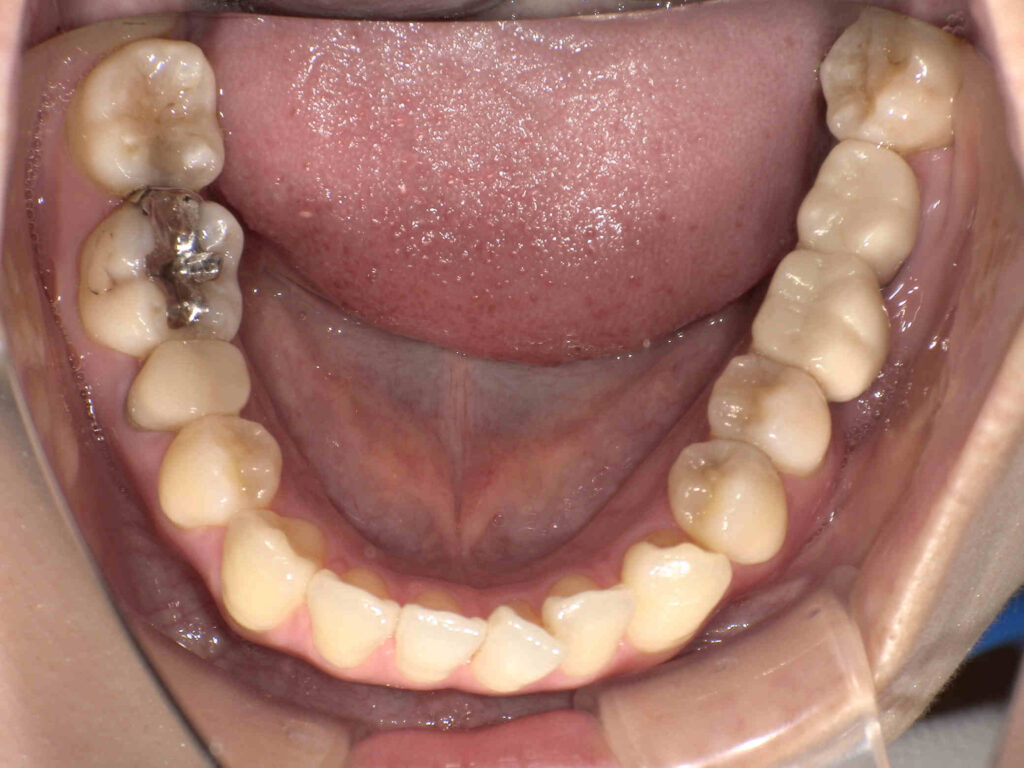
既存の金属修復物を除去し、セレックによる即日修復。 左右はそれぞれ別日に施術。 …続きを見る
NEWS
お知らせ
症例集
Instagram
真心こめた歯科診療を、ご一緒に。
採用情報