セラミック治療
前歯部セラミッククラウン
-
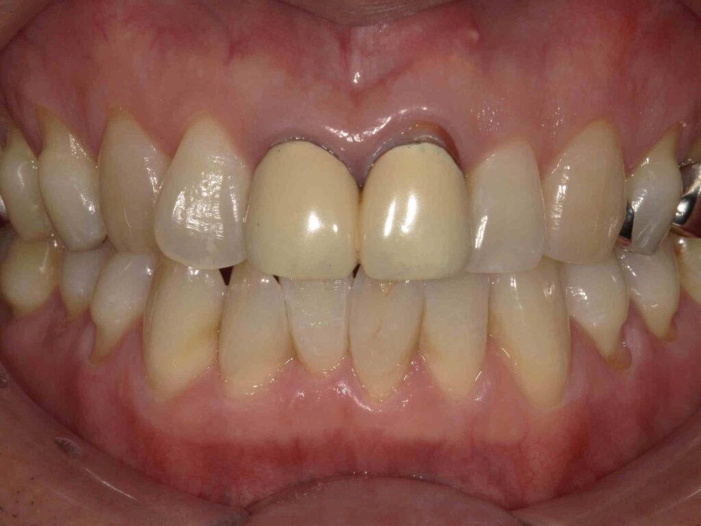
BEFORE

不適合なレジン前装冠が装着されています
-
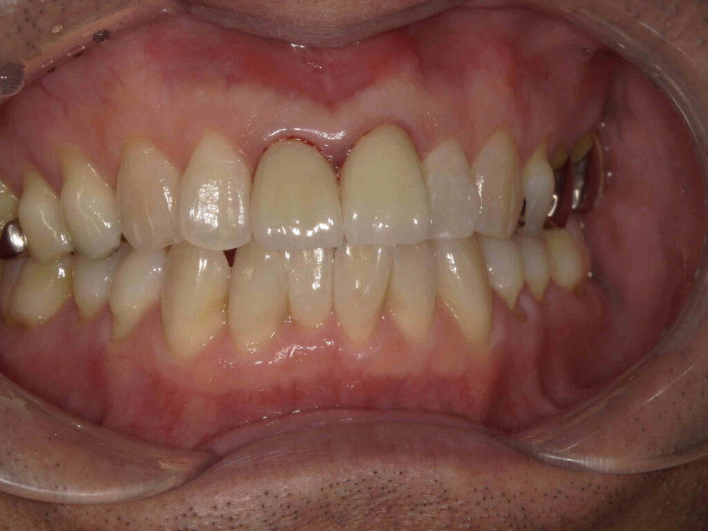
AFTER

不適合なレジン前装冠が装着されています
| 主訴 | 前歯をキレイにしたい |
|---|---|
| 診断名・ 主な症状 |
前歯部審美障害 |
| 年齢 | 40代男性 |
| 治療内容 | グラデーションジルコニアクラウン |
| 治療期間/ 通院回数 |
1カ月/2回 |
| 費用 | 242,000円 |
- リスク・副作用
-
セラミック治療
- メタルボンドなどの金属を使用している補綴物は、金属アレルギーの原因となる可能性があります。
- e-maxやジルコニアボンドなど、強く力がかかると割れたり欠ける恐れがあるものは、噛む力が強くかかる奥歯には使用できない場合があります。
- ジルコニアなど強度が高い素材は噛み合わせがなじむまでに多少お時間がかかる可能性があります。
- ラミネートベニア、ブリッジは健康な歯をわずかに削る必要があります。
インプラント
- 下歯槽神経を損傷、圧迫することで知覚異常や鈍麻の症状が出る場合があります。
- 術部の違和感・痛み・腫れ・出血が生じる場合がありますが、症状の多くは一時的なもので、大抵数日中に治ります。
- 妊娠中、妊娠の可能性のある方や授乳中の方はインプラント治療を行うことはできません。
- 糖尿病の方や喫煙される方は手術を受けられない可能性があります。
- 顎の骨が足りない場合、骨の厚みや量を増やす治療が必要な場合があります。
- 術後は定期的な検診・メインテナンスが必要となります。
矯正歯科治療
- 矯正装置を装着したり調整した直後は違和感や痛みを感じることがありますが、数日程度でなれることがほとんどです。
- 矯正装置を装着することで口腔内の清掃がしにくくなり虫歯や歯周病にかかるリスクが高くなるため、 ご自身でのセルフケアの他定期的に歯科医院でのクリーニックを受けていただき衛生状態を管理する必要があります。
- 症例によっては抜歯が必要となる場合があります。
- 矯正装置を外した後は、後戻りを防ぐためにリテーナー(保定装置)を装着する必要があります。
ホワイトニング
- ホワイトニングの薬剤により知覚過敏が生じる場合があります。
- 過酸化水素(ホワイトニングの主成分)を分解できない無カタラーゼ症(高原氏病)の方は治療できません。
- 妊娠中、妊娠の可能性のある方、授乳中の方はホワイトニングを行うことはできません。
- 虫歯や歯周病がある方、矯正治療中の方は治療を終えてからホワイトニングを行います。
- 神経がない歯や薬剤による変色など、着色が原因ではない歯の変色はホワイトニングで白くすることができません。
- 日々の生活習慣や元々の歯質・歯の状態によりホワイトニング効果に個人差があります。